Board Review: Keep Calm its about the BUMP
A 36-year-old female G3P2002 smoker with a history of HTN and cocaine use currently at 33 weeks’ gestation presents to the ED with acute onset “cramping” abdominal pain after falling on ice. She also reports new onset dark red vaginal bleeding that started after the fall about 30 minutes ago. Physical exam reveals a gravid, firm abdomen diffusely tender to palpation. What must be obtained before performing a pelvic exam?
A. Type and Screen
B. Kleihauer-Betke Test
C. Ultrasound
D. Fetal Heart Tones
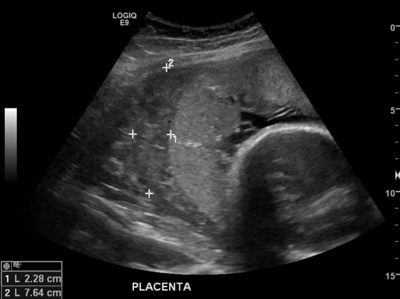
C. This patient’s history of acute onset painful 3rd trimester vaginal bleeding is concerning for placental abruption. She has multiple risk factors for this diagnosis including hypertension, smoking, cocaine use, multiparity, advanced maternal age, and trauma. Ultrasound should be done first to rule out placenta previa as a pelvic exam in that case may precipitate massive hemorrhage! Ultrasound can also be used to evaluate for abruption however it is a poorly sensitive test and therefore cannot definitively rule it out. Keep in mind that not all abruptions present with vaginal bleeding as significant hemorrhage can be concealed behind the placenta. This patient is at risk of hemorrhagic shock, DIC, and fetal demise so obtain large-bore IV access, continuous cardiac and fetal monitoring, and call OBGYN. A type and screen should be sent in anticipation of need for blood transfusion and Rhogam. Also be sure to send a DIC panel as initial fibrinogen levels <200 mg/dL have a nearly 100% positive predictive value for severe postpartum hemorrhage.


Case courtesy of Dr Andrew Dixon, <a href="https://radiopaedia.org/">Radiopaedia.org</a>. From the case <a href="https://radiopaedia.org/cases/14281">rID: 14281</a>

Eiriksson, L., Engels P.T. (2016). Trauma in Pregnancy. In: Gillman L., Widder S., Blaivas MD M., Karakitsos D. (eds) Trauma Team Dynamics. Springer, Cham. <https://link.springer.com/chapter/10.1007/978-3-319-16586-8_19>. (Dec 13, 2019).
See this past EM Daily post regarding trauma in pregnancy: https://emdaily.cooperhealth.org/content/trauma-pregnancy
