Board Review: Oh SNAP!
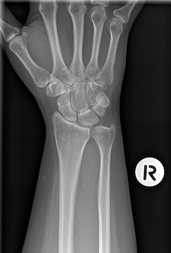
65 year old woman who presents to the ED with diffuse right wrist pain after a FOOSH while chasing her dog. On exam you note tenderness on the radial aspect of the wrist, including localized tenderness of the anatomic snuffbox. Her XR is below. What is your treatment plan?

-
Discharge with plan to rest, ice, and elevate the extremity
-
Admit for intraoperative repair of distal radius fracture
-
Discharge with ulnar gutter splint and plan to follow up with orthopedics
-
Discharge with thumb spica splint and plan to get repeat imaging outpatient
Answer is D. This patient had a FOOSH (fall on outstretched hand) with an exam concerning for an occult scaphoid fracture despite a normal XR as shown. Up to 10% of initial x-rays in patients with scaphoid fractures are normal. Given the high risk of morbidity related to an undiagnosed scaphoid fracture - avascular necrosis leading to chronic functional impairment and pain - it is important to treat the patient for a scaphoid fracture if your clinical suspicion is high. This includes placing a thumb spica splint and arranging close follow up with orthopedics and repeat imaging outpatient.
See a related prior EM Daily post here for more scaphoid fracture pearls: https://emdaily.cooperhealth.org/content/whats-diagnosis-case-erica-schramm
Knipe, H. "Scaphoid Fracture."<https://radiopaedia.org/articles/scaphoid-fracture?lang=us>. 8/28/20.
