What's the Diagnosis? By Dr. Eric Chavis
Wed, 07/08/2020 - 6:00pm
Editor:
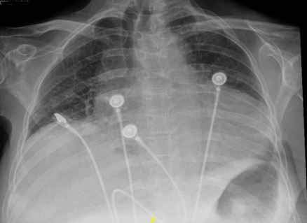
A 55 yo F with a history of untreated hypothyroidism presents to the ED with fatigue, SOB, abdominal distension and lower extremity edema. Her symptoms have been progressively worsening over the last month. Exam is significant for diminished heart sounds, clear lungs and abdominal ascites. EKG shows low voltage throughout. A CXR and bedside US are done and shown below. What's the diagnosis? (scroll down for answer)
Answer: Pericardial Effusion
- CXR shows "boot shaped heart"
- Bedside US shows pericardial effusion with no initial signs of tamponade
- Pericardial effusion = abnormal amount of fluid in the pericardial space
- Patients may present with chest pain, shortness of breath, cough, palpitations or syncope
- Exam findings may include: classic Beck's triad, pulsus parodoxus, tachycardia, tachypnea, pericardial friction rub, decreased breath sounds, HSM, weakned peripheral pulses, edema
- classic Beck's triad= (seen in cardiac tamponade): hypotension, muffled heart sounds, JVD
- Pulsus parodoxus= SBP drop >10mmHg on inspiration
- This patient was seen by cardiology and on repeat echo displayed signs of developing tamponade
- She was take for urgent pericardiocentesis where >550mL of fluid was drained from pericaridal sac
