What's the Diagnosis? By Dr. Eric Chavis
Wed, 07/22/2020 - 1:00pm
Editor:
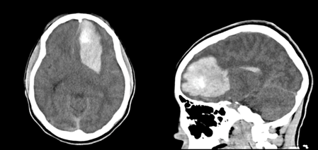
A 14 yo F with no past medical history presents to the ED after acute onset of headache, nausea/vomiting and change in mental status. Exam is significant for pupils 4mm b/l, equally reactive, but sluggish. She withdraws all extremities to pain. Accucheck is 149. A CT head is done and shown below. What's the diagnosis? (scroll down for answer)
Answer: Spontaneous left frontal ICH (intracerebral hemorrhage)
- Etiology
- for this patient, concern for AVM vs AV fistula
- other risk factors include: intracranial tumors, long standing hypertension, anticoagulant use, use of sympathomimetic drugs
- Presentation
- headache, nausea, vomiting (often precede neurologic deficits)
- headache is thought to incrase in intensity more slowly than SAH
- Diagnosis
- CT scan is optimal imaging study for demonstrating hemorrhage and possible extension into the ventricles
- ED management
- Don't forget ABCs!
- Elevate HOB 30 degrees
- Decrease ICP
- SBP goals < 140mmHg
- Reverse anticoagulation if necessary
- Call your friendly neighborhood neurosurgeon ASAP!
References:
Tintinalli, J. E., Stapczynski, J. S., Ma, O. J., Cline, D., Meckler, G. D., & Yealy, D. M. (2016). Chapter 166: Spontaneous Subarachnoid and Intracerebral Hemorrhage. In Tintinalli's emergency medicine: A comprehensive study guide. New York: McGraw-Hill.
