What's the Diagnosis? By Dr. Eric Chavis
Wed, 11/11/2020 - 7:00am
Editor:
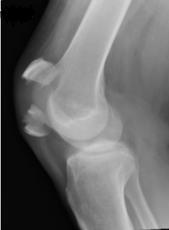
A 50 yo M with no PMHx presents to the ED with knee pain after falling from standing height. He tripped in his kitchen and fell directly on his knee. He has severe pain with any movement. There is a palpable deformity and he is unable to extend his knee on exam. He is neurovascularly intact distal to the knee. An xray is done and shown below. What's the diagnosis? (scroll down for answer)
Answer: Acute Patellar Fracture
- May occur secondary to:
- direct force (fall, dashboard injury)
- indirect force (rapid knee flexion during contraction of quadriceps)
- Must assess for neurovascular compromise distal to injury!!
- If related to trauma, examine for open fracture
- Management
- If >4mm of fracture gap and/or no intact extensor mechanism of knee, will need emergent ortho eval
- If <3mm and intact extensor mechanism- knee immobilizer, rest, analgeisa and f/u ortho
- If open: anti-staphylococcal antibiotics, emergent ortho consult for I and D in OR
References:
Bengtzen R (2020). Knee injuries. Tintinalli J.E., & Ma O, & Yealy D.M., & Meckler G.D., & Stapczynski J, & Cline D.M., & Thomas S.H.(Eds.), Tintinalli's Emergency Medicine: A Comprehensive Study Guide, 9e. McGraw-Hill.
