What's the Diagnosis? By Dr. Kathryn Kaminski
Wed, 05/19/2021 - 7:49am
Editor:
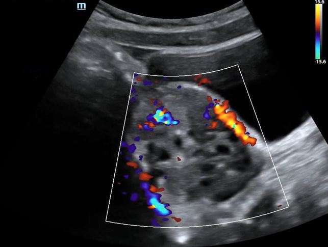
A 17 yo F with no past medical history presents to the ED with acute onset of R sided pelvic pain associated with nausea. A serum hCG is negative. Bedside ultrasound reveals the following. What's the diagnosis? (scroll down for answer)
Answer: Ovarian Torsion
- A gynecologic emergency!
- If untreated, results in ovarian ischemia and infertility
- Occurs when the ovary and fallopian tube twists around the pelvic ligaments that keep it in place, ultimately compromising blood flow
- Can occur in women of any age, but especially among those of reproductive age and in pregnancy
- More commonly on R side
- Risk factors: enlarged ovary, ovarian cyst or pelvic mass, PCOS, tubal ligation, assisted reproduction
- Most common presentation: pain-- may be intermittent, as ovary torses and de-torses over time
- Pain can mimic appendicits or nephrolithiasis, but patient may also lack abdominal tenderness on exam
- US is imaging study of choice, however absent Doppler flow is a late finding
- An enlarged ovary alone visualized on US is concerning for diagnosis of torsion, even if dopper flow normal
- Whirlpool sign (shown above) may be seen on US w/ twisting of the vessels
References:
Robertson, J. J., Long, B., & Koyfman, A. (2017). Myths in the Evaluation and Management of Ovarian Torsion. The Journal of emergency medicine, 52(4), 449–456.
Sasaki, K. J., & Miller, C. E. (2014). Adnexal torsion: review of the literature. Journal of minimally invasive gynecology, 21(2), 196–202.
