What's the diagnosis? By Dr. Katie Nowlan
Wed, 09/09/2020 - 8:37am
Editor:
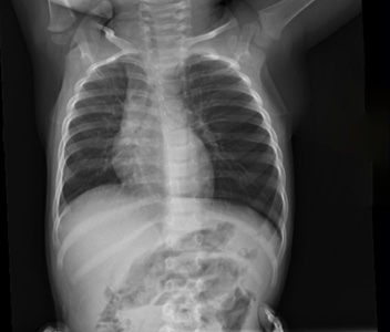
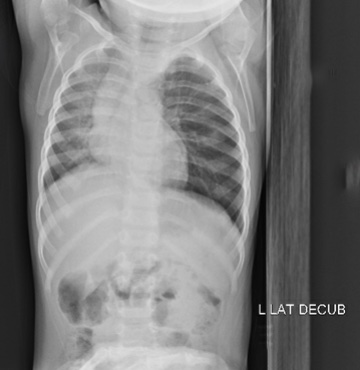
A 16 mo female is brought in by mom for intermittent cough and wheeze. Mom concerned because she said yesterday child's older brother left trail mix out and mom found patient with some in her mouth. Since then periodic cough and now wheeze today. No cyanosis or distress. AP and lateral decubitus xrays completed. What's the diagnosis? Scroll down for answer.



Answer: Non-radiopaque foreign body in left airway beyond the carina with hyper lucency of the left lung consistent with air trapping
- Air trapping seen on all views
- normally with decubitus xrays dependent lung collapses slightly, which is seen here on the right but not on the left
- patient taken to the OR with ENT and peanut was removed via bronchoscope from the left main stem bronchus, she was discharged the following day
