What's the Diagnosis? By Dr. Lesley Walinchus-Foster
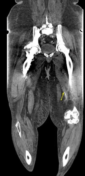
A 37 yo M w/ a PMH of type 2 DM and non-ischemic cardiomyopathy presents to the ED with 6 days of progressively worsening L lower extremity pain. On exam, the L lower leg is slightly erythematous/edematous and is cool to touch when compared to the R. There is decreased sensation in the L foot. On Doppler exam, the L PT pulse is normal, but DP pulse is weak. A CTA runoff is obtained. What's the diagnosis? (scroll down for answer)
Answer: Occlusion of the L superficial femoral artery

- Acute limb ischemia defined as symptoms starting within a 2 week period
- Thrombotic occlusion is most common cause; can also be due to embolism, vasospasm, infectious arteritis, prolonged vasopressor use, or dissection
- 6 P's of acute limb ischemia - pain, pallor, paralysis, pulselessness, paresthesias, polar (cold)
- On exam, if doppler flow is detected in affected limb --> obtain Ankle-Brachial Index ( value <0.25 suggests potential limb threatening vascular disease)
- Further imaging can include duplex US, CT w/ contrast and angiography
- Requires emergent consultation with vascular surgery
References: Chopra A, Carr D. Arterial Occlusion. In: Tintinalli JE, Stapczynski J, Ma O, Yealy DM, Meckler GD, Cline DM. eds. Tintinalli’s Emergency Medicine: A Comprehensive Study Guide, 8e New York, NY: McGraw-Hill; 2016.
Comments
-

Comments
Smith-Jillian_191
Tue, 09/25/2018 - 9:03pm
Permalink
-
-