What's the diagnosis? By Dr. Loran Hatch
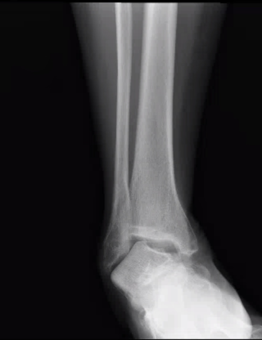
65 yo F presents to the ED with right ankle pain. She reports she twisted her ankle in a pothole. She presents with diffuse pain, swelling and obvious deformity of right ankle. Dorsalis pedis pulse 2+, sensation intact distally.
X-ray is shown. What's the diagnosis? Scroll down for answer.

Answer: Tibiotalar dislocation
Open or closed fracture?
Neurovascular intact?
Ankle dislocation: most common mechanism is plantarflexion with inversion leading to posteromedial dislocation
Lateral dislocation likely from eversion injury
Attempt closed reduction in the ED with intra-articular hematoma block, analgesia and/or sedation
Posterior and U stirrup splint
Non-weight bearing
Usually associated with fracture and/or ligamentous injury. Prompt ortho follow up within one week if successful reduction in the ED. Patient will likely need CT/MRI.
Reference:
Frank AL, Charette RS, Groen K. Ankle Dislocation. StatPearls. 2020.
