What's the diagnosis? By Dr. Michael Tom
Wed, 03/03/2021 - 8:57am
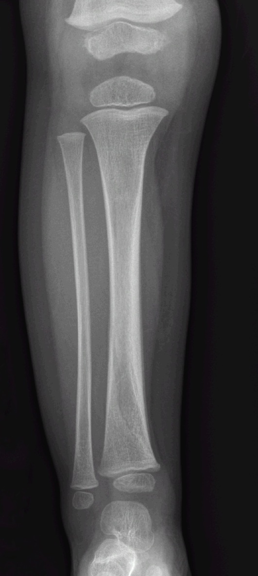
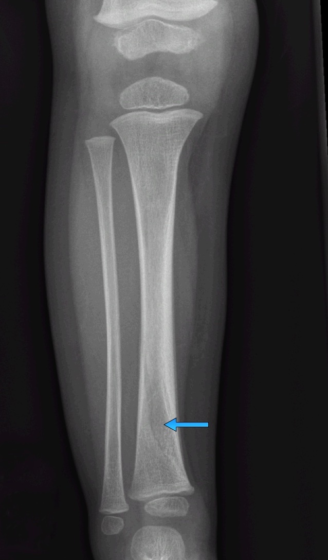
A 2 yo male presents refusing to bear weight on his right leg. There is no known trauma. Parents report he is very active and playful with older siblings. He has focal tenderness over the distal tibia. No fever and no pain with range of motion at the hip. What's the diagnosis? (scroll down for answer)

Answer: Toddler's Fracture

- Spiral or oblique non-displaced fracture of the distal tibia
- Very common in ambulatory toddlers, occurs with low energy falls or twisting injuries
- Initial radiographs are normal in 13-43% of cases, often a clinical diagnosis
- Present with focal tenderness, refusal to bear weight, pain on dorsiflexion, often minimal or no swelling
- Treatment is immobilization (long leg cast), no weigh bearing, orthopedics follow-up in 7-10 days
- Can be diagnosed with ultrasound if provider is comfortable with musculoskeletal sonography
- More proximal tibial fractures in this age group should raise suspicion for non-accidental trauma
