What's the diagnosis? By Dr. Sandhya Ashokumar
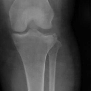
A 40 yo female presents with knee pain after climbing a fence and landing on her left knee. She reports that she was not able to ambulate afterwards. On exam, her left knee is swollen and bruised, distal pulses are intact, limited strength testing because patient reports she cannot bend her left leg at the knee. She has left medial and lateral knee joint line tenderness. Her lower extremity compartments are soft. An xray is shown. What's the diagnosis? Scroll down for answer.

Answer: tibial plateau fracture
Consider:
- Differential for this patient's exam would include knee dislocation (possibly with spontaneous reduction), proximal tibia or fibular fracture, quadriceps tendon rupture
- obtain CT if no acute findings on xray and pt unable to bear weight. This patients CT is shown below.

Management:
- patient should remain non-weightbearing with affected limb in a knee immobilizer
- based on age and type of fracture management ranges from conservative to ORIF
- early orthopedic consultation
Complications:
- compartment syndrome, popliteal artery injury, osteoarthritis
Background:
- common fractures organized according to the Schatzker classification system
- Class I-III, most common, involve the lateral plateau and often caused by low energy mechanism
- Type IV involves the medial plateau, are result of high impact, often associated with ligamentous injury
- Types IV-VI fractures should cause hightened concern for vascular injury and compartment syndrome

Sources:
· Bengtzen R. Knee Injuries. In: Tintinalli JE, Ma O, Yealy DM, Meckler GD, Stapczynski J, Cline DM, Thomas SH. eds. Tintinalli's Emergency Medicine: A Comprehensive Study Guide, 9e. McGraw-Hill; Accessed August 22, 2020. https://accessemergencymedicine-mhmedical-com.ezproxy.rowan.edu/content....
· Softness KA, Murray RS, Evans BG. Total knee arthroplasty and fractures of the tibial plateau. World J Orthop. 2017;8(2):107-114. Published 2017 Feb 18. doi:10.5312/wjo.v8.i2.107
· Shrestha SK. Schatzker classification for Tibial plateau fracture : Mnemonic [Internet]. Epomedicine; 2020 Apr 15 [cited 2020 Aug 22].
