What's the diagnosis? By Dr. Sandhya Ashokumar
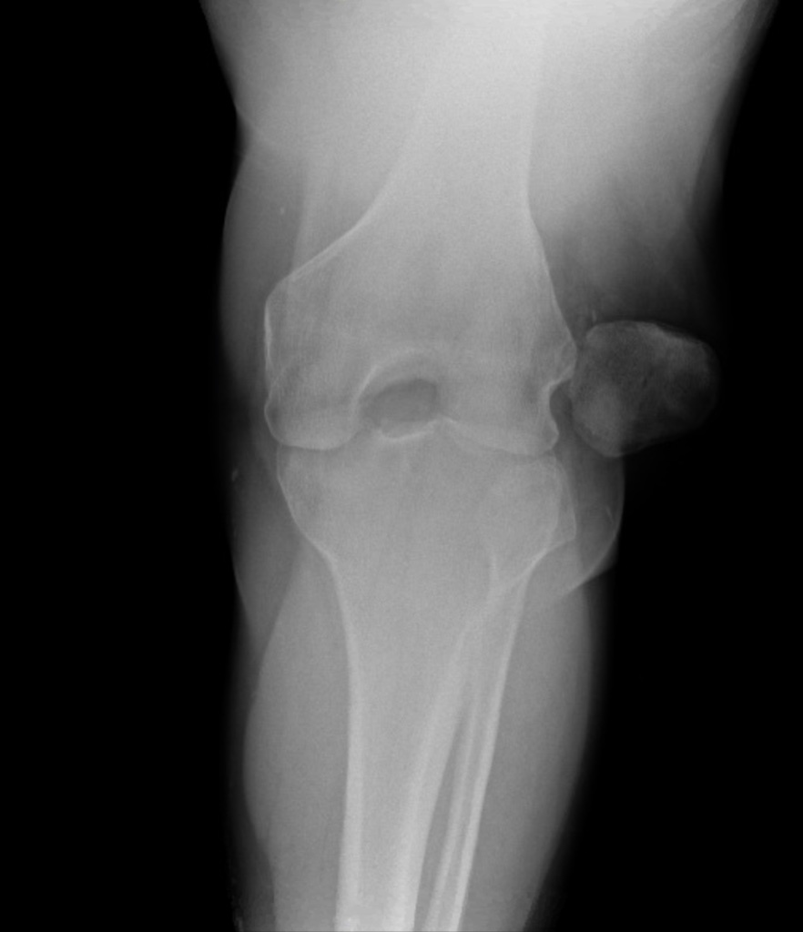
A 55 yo male presents with left knee pain. He reports he slipped in mud and fell onto left knee. He has severe pain and is unable to bear weight. There is an obvious deformity and his knee is held in flexion. The left lower extremity has intact sensation and 2+ dorsalis pedis pulse with brisk capillary refill. An xray is shown. What's the diagnosis? Scroll down for answer.

Answer: Acute patellar dislocation
Background
- 3% of all traumatic knee injuries
- occur most frequently in younger patients
- most common mechanism is non-traumatic knee held in flexion and valgus
- patients with patellar dislocations have 6-fold rate recurrence
- typically resolve spontaneously with only 20% requiring reduction
- hemarthrosis is common
Treatment - reduction
- extend knee while placing pressure lateral to medial in order to guide patella back into femoral trochlea
- obtain post reduction film to assess for fracture
- immobilize knee for 2-3 weeks to stabilize the patella with early weight bearing as tolerated
- orthopedics follow-up within one week
- surgery recommended with abnormal joint or recurrent dislocations
Sources:
Duthon VB. Acute traumatic patellar dislocation. Orthopaedics & Traumatology: Surgery & Research 101. 2015. S59-S67.
Bengtzen R. Knee Injuries. Tintinalli J.E., Ma O. Yealy D.M. Meckler G.D. Stapczynski J. Cline D.M. Thomas S.H. Tintinalli’s Emergency Medicine: A Comprehensive Study Guide, 9e. 2020.
