What's the Diagnosis? By Dr. Sarab Sodhi
Wed, 12/25/2019 - 7:00am
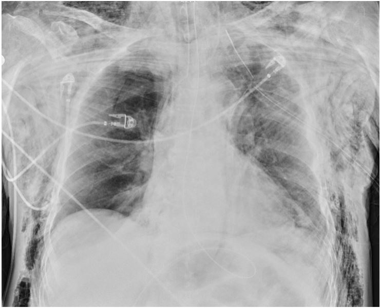
A 55 year old male presents to the ED in respiratory distress with hypoxia, tachycardia, and tracheal deviation. The patient is stabilized after intubation and chest tube insertion. A CXR is done. What's the diagnosis? (scroll down for answer)
Answer: Subcutaenous emphysema
- The radiographic 'ginkgo leaf sign'- air outlines the fibers of the pectoralis major muscle, forming a streaky pattern similar to branching pattern in veins of a ginkgo leaf
- Highly suggestive of an underlying pneumothorax (or a tracheo-bronchial injury)
- Exam will reveal chest wall crepitance
- The diffuse nature of the emphysema suggests need for bronchoscopy to evaluate for tracheo-bronchial injury
